ORTODONCISTA CERTIFICADA EN INVISALIGN
Con más de 20 años de experiencia en odontología, diseña sonrisas perfectas utilizando los sistemas
de ortodoncia más avanzados, incluyendo Invisalign. La combinación de tecnología de vanguardia y su
vasta experiencia clínica asegura una transformación única para tu sonrisa.
Cada tratamiento es cuidadosamente personalizado.
+20 años
de Experiencia
La Dra. Gloria Ho estudió en la Universidad Autónoma de Guadalajara, obteniendo su título de Cirujano Dentista en 1997. Realizó su Postgrado en la Universidad Autónoma de Nuevo León, obteniendo una Maestría en Ciencias Odontológicas con Especialidad en Ortodoncia en el año 2000.
Posee certificación de Invisalign desde 2005 y ha recibido entrenamiento en Ortodoncia lingual, con certificaciones de Incognito de 3M y Harmony de American Orthodontics. También está entrenada en ortopedia dentofacial y Diseño de Sonrisa Digital (DSD).
Ha sido Presidenta de la Sociedad Panameña de Ortodoncia y Ortopedia Dentofacial y es miembro de varias asociaciones internacionales de ortodoncia y odontología.
En 2022, tomó un diplomado en Invisalign con la Dra. Susana Palma y Javier Lozano.
"Tu mejor sonrisa comienza aquí."
Posee certificación de Invisalign desde 2005 y ha recibido entrenamiento en Ortodoncia lingual, con certificaciones de Incognito de 3M y Harmony de American Orthodontics. También está entrenada en ortopedia dentofacial y Diseño de Sonrisa Digital (DSD).
Ha sido Presidenta de la Sociedad Panameña de Ortodoncia y Ortopedia Dentofacial y es miembro de varias asociaciones internacionales de ortodoncia y odontología.
En 2022, tomó un diplomado en Invisalign con la Dra. Susana Palma y Javier Lozano.
"Tu mejor sonrisa comienza aquí."
SISTEMAS DE ORTODONCIA
INVISALIGN
Invisalign es un sistema de alineadores transparentes y removibles, diseñados a medida para corregir la alineación de tus dientes de manera cómoda y discreta. A diferencia de los brackets tradicionales, Invisalign no utiliza metal ni cables, lo que permite una experiencia estética y práctica, sin interferir con tu día a día. Además, los alineadores se cambian progresivamente para lograr la sonrisa que siempre has querido, con menos visitas al ortodoncista y sin molestias significativas.
BRACKETS
Los brackets son dispositivos fijos que se colocan sobre los dientes para corregir su alineación. Trabajo varios tipos de brackets, como los tradicionales de metal, los cerámicos (más discretos) y los linguales (colocados en la parte posterior de los dientes). Todos los sistemas de brackets funcionan de manera similar, aplicando presión constante para mover los dientes a la posición deseada. Cada uno tiene ventajas específicas dependiendo de tus necesidades estéticas, funcionales y de tiempo. Si prefieres una opción más visible o discreta, podemos diseñar el tratamiento que mejor se adapte a ti.
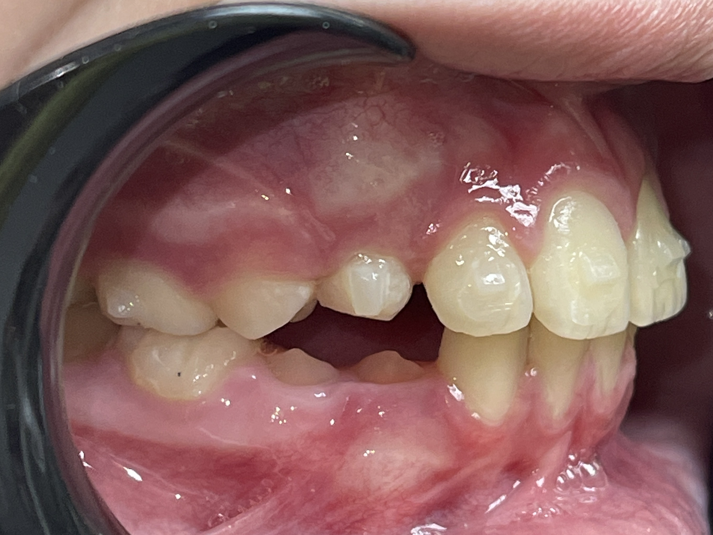
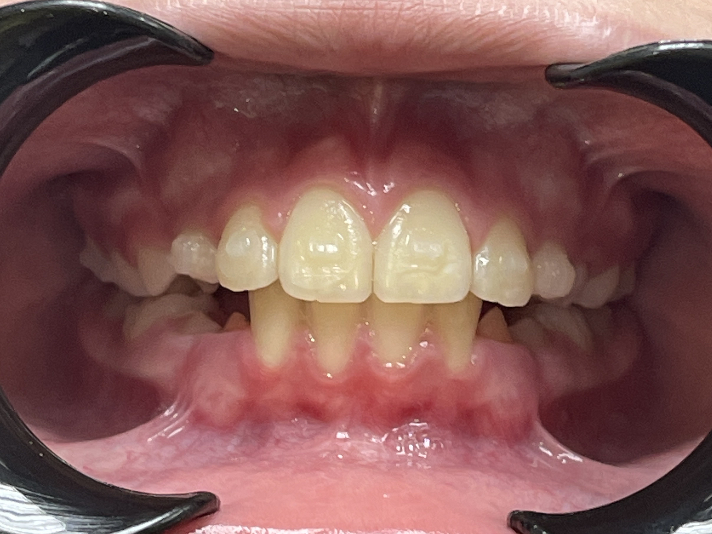
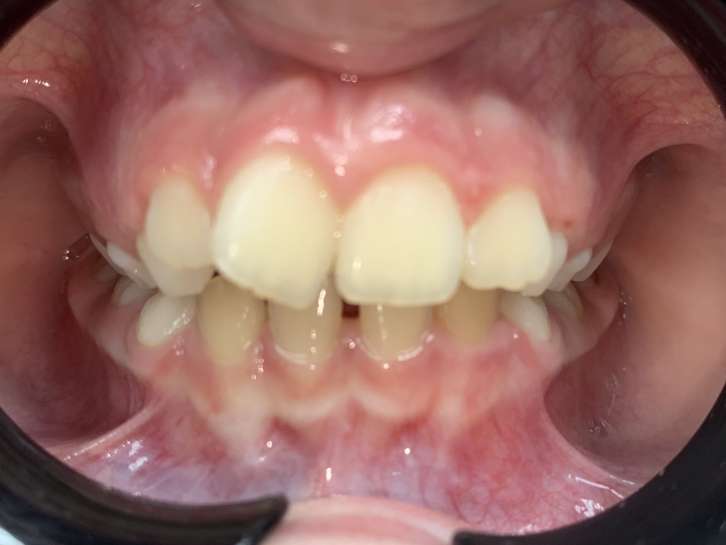
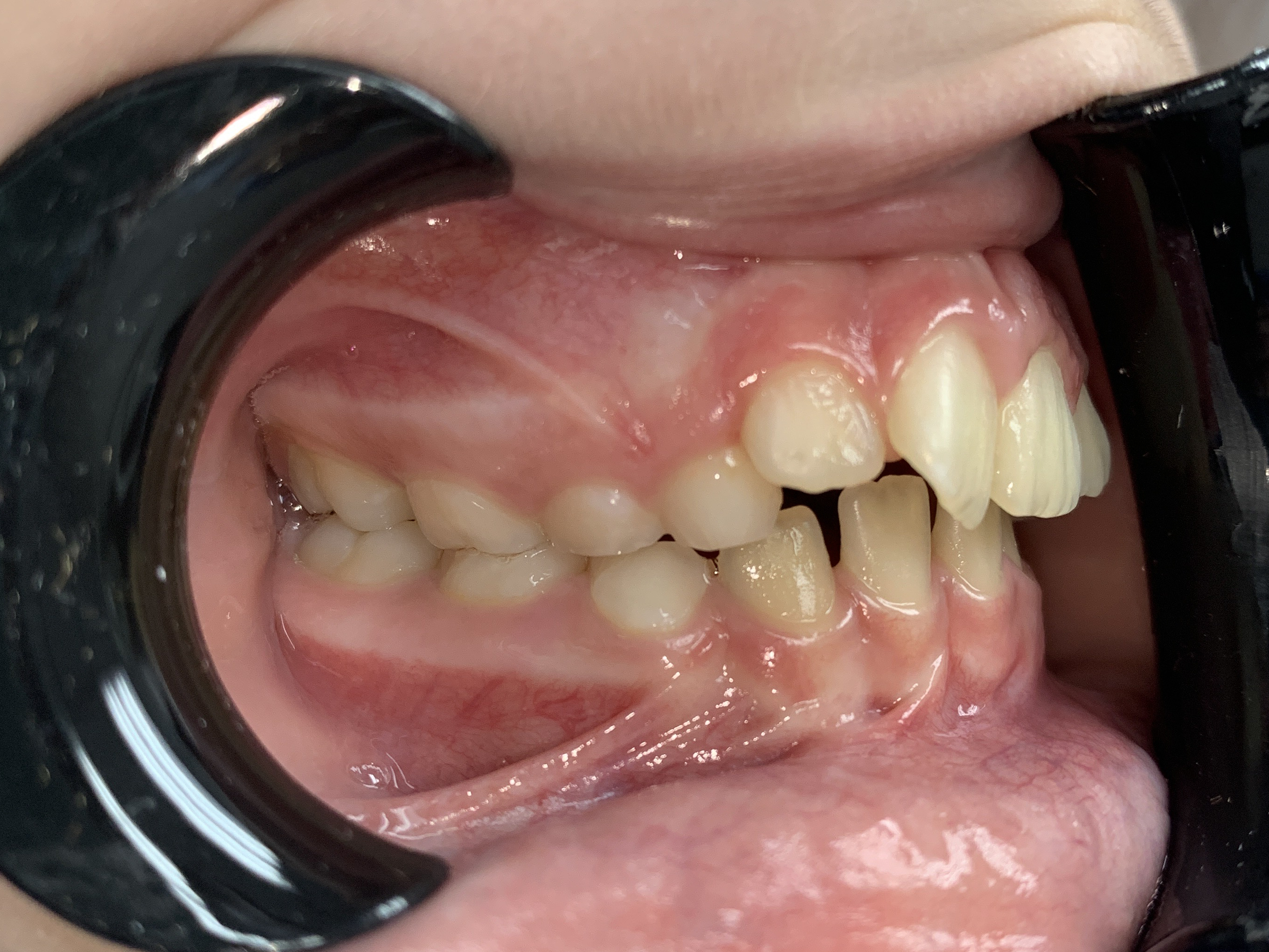
RESULTADOS
Algunos de los casos que he atendido han mostrado resultados sorprendentes y satisfactorios. Aquí
puedes ver algunos ejemplos de antes y después de mis tratamientos.
ALINEACION
Alineamos los dientes para mejorar la mordida y la estética de la sonrisa.
CORRECION DE MORDIDA
Corregimos la mordida para mejorar la función y la apariencia de la sonrisa.
VIDEOS
Descubre más sobre nuestros tratamientos y resultados a través de estos videos.
¿PREGUNTAS FRECUENTES?
Sí, es fundamental realizar una evaluación inicial con radiografías y modelos dentales para diseñar un plan personalizado y efectivo.
Los brackets tradicionales y cerámicos se fijan a los dientes, mientras que los alineadores Invisalign son removibles y casi invisibles. La elección depende de tus necesidades y preferencias estéticas.
Puede haber molestias iniciales al ajustarse al tratamiento, especialmente los primeros días, pero suelen ser leves y desaparecen rápidamente.
Es importante no saltarlas, ya que podrían retrasar el progreso del tratamiento o afectar los resultados finales.
Los tratamientos pueden empezar a cualquier edad, aunque la mayoría de los pacientes inician en la adolescencia. Los adultos también pueden lograr excelentes resultados.
¿Empezamos?
Estaré encantada de ayudarte a conseguir la sonrisa que siempre has deseado.
Consultorios
PACIFIC DENTAL CLINIC
Hospital Pacífica Salud primer piso consultorio 132
Martes y Miercoles
CENTRO ODONTOLOGICO PAITILLA
Consultorio Médicos Paitilla, planta baja
Viernes
DENTAL ESTHETIC
Boulevard El Dorado, dentro de Clínicas El Dorado Consultorio 18
Lunes, Jueves y 2 Sábados al mes